Предыдущая часть здесь
Лингвальные брекеты
Сообщений 1 страница 30 из 1000
Поделиться22012-04-01 18:44:59
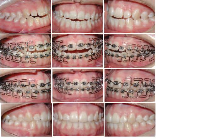
Мне не смогли приклеить обратно отвалившийся с ВЧ брекет, и отправили его в Германию переделывать, вслед за заказом дубликата дуги на НЧ.
Моя орт уверяет, что сломанная дуга все равно "работает", и отсутствие одного брекета тоже не удлинит срок лечения. Можно ли в это верить? Кто-нибудь знает? Мне кажется, она мне это сказала, чтобы я не нервничала.
Знала бы, что так будет, поставила бы In-Ovation L.
Отредактировано Avis (2012-04-01 18:48:28)
Поделиться32012-04-02 00:36:06
Шочикецаль, благодаря вашим ответам проясняется ситуация. Я думаю, что брекеты с техникой многопетлевой дуги (MEAW) носить больно. Они прямо впиваются в десны
Я так понимаю это они 
И все же я надеюсь, что решить вопрос с суставом можно с помощью трейнера поверх инкогнито. Может спросите у своей ортоши, что она думает по этому поводу?
Доктор Дирк Вихман продал свою компанию "Топ-сервис" корпорации 3М. Он отошел от дел и участвует в бизнесе только как акционер, пациентов он не лечит и планы лечения не составляет. Там на самом деле все очень сильно изменилось, причем далеко не в лучшую сторону.
Я теперь не знаю, что делать. Расстроилась
Где можно почитать подробней? Может это слух...
Avis, ваша сломанная дуга тоже наводит на нехорошие мысли.
Шочикецаль, жаль пока не могу почитать ваш днев.
Отредактировано Afina1 (2012-04-02 00:37:11)
Поделиться42012-04-02 01:08:23
Afina1
Своему доктору доверяю, он продолжает ставить системы Инкогнито и считает их лучшими лингвальными.
А то что кто то кому то продал, вы ведь должны понимать это бизнес, и это не значит плохо что компания 3М стала владельцем
Кстати где можно почитать об этом?
Отредактировано zyablik (2012-04-02 01:11:36)
Поделиться52012-04-02 08:00:03
То, о чем пишет Шочикецаль - не слухи, моя орт тоже об этом говорила, а так же рассказывала, что был период, когда были проблемы с брекетами Инкогнито, но в последние месяцы все нормализовалось.
Avis, а что случилось с брекетом, почему его не смогли приклеить?
И еще: у нас, судя по всему, разные дуги стоят, а вот с чем это связано, понять бы... Я уже писала, что у меня вылетела нижняя дуга. Потом, при чистке зубов, я не уследила и у меня соскочила защита с нее. Постольку поскольку в клинику я могла поехать только вечером, а в течение дня предстояло активное общение, я понимала, что раздеру себе язык, если на дуге не будет защиты. Я изловчилась и надела защиту обратно, при этом дугу мне пришлось выгибать на 180 градусов и она, по ощущениям, весьма гибкая и пластичная. Доктор мне как раз говорит, что сейчас на нижней челюсти у меня стоит мягкая дуга. Но у меня скученность такая не очень симпатичная присутствует. Может быть мне как раз мягкую дугу и установили, чтобы все немного подрасправилось и при этом дуга чтобы не ломалась?...
Поделиться62012-04-02 11:40:52
Avis, а что случилось с брекетом, почему его не смогли приклеить?
На конкретно этот брекет моя орт еще при установке обратила внимание - сказала что он великоват, на ее взгляд, для поверхности зуба. Он у меня отвалился тоже не во время еды или чистки зубов - а просто так, я даже не поняла сначала в чем дело. Удивительно, как я его не проглотила, у меня теперь фобия развилась на эту тему - что какой-нибудь брекет отвалится, а его проглочу
Когда попытались приклеить - он сразу отвалился опять, и орт приняла решение отправить его на переделку в лабораторию, сказала что иначе он так и будет отваливаться.
Доктор мне как раз говорит, что сейчас на нижней челюсти у меня стоит мягкая дуга. Но у меня скученность такая не очень симпатичная присутствует. Может быть мне как раз мягкую дугу и установили, чтобы все немного подрасправилось и при этом дуга чтобы не ломалась?...
Я специально спросила в этот раз, выяснилось что у меня на обоих челюстях стоят сейчас мягкие дуги... так что жесткость дуги тут не при чем, поломка не из-за этого. Похоже что и правда брак. Хотя - справедливости ради - скученность у меня на НЧ действительно очень сильная. Я еще удивлялась как она у меня будет выравниваться без удаления зубов.
Должна сказать, что уже заметила изменения, особенно на ВЧ. Зубы стали ровнее, несмотря на такой короткий срок ношения. А на НЧ после поломки дуги опять все уехало вкривь 
Поделиться72012-04-02 14:35:50
Шочикецаль,
Если Вы все-таки такую статью создадите, пожалуйста продублируйте ее в какой-нибудь теме, думаю, многим новичкам она поможет в выборе врача, а новички (и я в их числе) не имеют доступа к дневникам.
Заранее огроменное спасибо!!!
Поделиться82012-04-02 21:55:54
Хотя - справедливости ради - скученность у меня на НЧ действительно очень сильная. Я еще удивлялась как она у меня будет выравниваться без удаления зубов.
Думаю, за счет расширения зубного ряда все встанет на место. Моя орт несколько раз повторяла, что зубной ряд нужно расширять и что брекеты она заказывала с этим эффектом.
Поделиться92012-04-02 22:30:14
Я думаю, что брекеты с техникой многопетлевой дуги (MEAW) носить больно. Они прямо впиваются в десны
Да нее, это так кажется ) Не больно, просто сложнее в плане гигиены, ну и внешний вид, конечно, специфический.
И все же я надеюсь, что решить вопрос с суставом можно с помощью трейнера поверх инкогнито. Может спросите у своей ортоши, что она думает по этому поводу?
Мы с моей ортшей это все уже проходили на собственном опыте, всю свою эпопею с лечением сустава, разобщающей пластинкой, каппой, ТЭНСом я подробно описывала в теме "Проблемы с суставами". В общем, мне не помогло. Поверх инкогнито мою каппу вообще было нереально надеть. Выбросили ее и все. Была идея оставить каппу только на жевательной поверхности моляров, распилив ее на фрагменты и приклеив к каждому зубу, чтобы сохранилось достигнутое положение в соотношении челюстей и при этом чтобы зубы могли свободно двигаться куда нужно в процессе ортодонтических перемещений... Короче, это все слишком трудоемко, совершенно непрогнозируемо, малоосмысленно, и главное, никогда и никто этого у нас в городе не делал, поэтому непонятно было, что из этого получится. Просто забили и все.
Я теперь не знаю, что делать. Расстроилась
А чего расстраиваться?
Нормальное явление, маленький частный бизнес становится частью крупного. 3М, кстати, известная корпорация, она занимается многими инновациями и внедряет самые продвинутые технологии в разные сферы. В стоматологии это один из признанных лидеров в производстве разных высокотехнологичных материалов и инструментов.
Кстати где можно почитать об этом?
Нигде ). Уход Вихмана от дел не такое великое событие, чтобы взорвать масс-медиа )).
Если Вы все-таки такую статью создадите, пожалуйста продублируйте ее в какой-нибудь теме, думаю, многим новичкам она поможет в выборе врача, а новички (и я в их числе) не имеют доступа к дневникам.
Ок.
Поделиться102012-04-02 22:34:42
вот и у меня дуга сломалась:(((((((((на выходных отклеился брекет последний на нижней челюсти и кусучек дуги торчал, а ортша только в среду работает. Так сегодня вечером в момент разговора выскочила дуга на верхней челюсти, а на нижней отломился кусок дуги:(((((((((а у кого stb вы долго ждали новую дугу???
(((((
Поделиться112012-04-03 11:00:06
Мы с моей ортшей это все уже проходили на собственном опыте, всю свою эпопею с лечением сустава, разобщающей пластинкой, каппой, ТЭНСом я подробно описывала в теме "Проблемы с суставами". В общем, мне не помогло. Поверх инкогнито мою каппу вообще было нереально надеть.
Я так поняла, что можно заказать спец. трейнер для установки поверх инкогнито прямо у них же. Или они такое не делают? Я об этом у ортши не спрашивала.Я думала, что это само собой разумеется, что в инкогнито изготовят трейнер с учетом всех деталей для конкретного пациента.
Нормальное явление, маленький частный бизнес становится частью крупного.
Я думала это большая фирма - весь мир обслуживают.
Мне ортша говорила, что мне будут ставить на внутренней стороне зубов аттечменты из полимера для того чтоб можно было натянуть резиночки, с помощь которых будут тянуть центр.Я вот. думаю, почему резинки нельзя крепить на сами брекеты? Зачем дополнительно перегружать зубы аттечемнетами?
Поделиться122012-04-03 13:36:05
Приветик! Хотела написать про свою ВЧ в Инкогнито сег уже вторая неделя как она стоит и я ее вообще уже не чувствую как и была тут) язык не трется хотя в самом начале было немного делаю все манипуляции ртом))) ну вы поняли))) кстате я прочла в старых темах там девочки парились типа как я буду...
ну все ок! Интересно как будет с НЧ очень надеюсь очень что будет также легко) из минусов это: проблемы с речью в начале особенно р з с ч проблемные у меня. Сейчас получше)) вот так:)
ПРЕДУПРЕЖДЕНИЕ - НАРУШЕНИЕ ПРАВИЛА 2.12 - ЗАПРЕЩЕНО писать несколько сообщений подряд, если хотите дополнить написанное сообщение - отредактируйте его.
Приветик! Хотела написать про свою ВЧ в Инкогнито сег уже вторая неделя как она стоит и я ее вообще уже не чувствую как и была тут) язык не трется хотя в самом начале было немного делаю все манипуляции ртом))) ну вы поняли))) кстате я прочла в старых темах там девочки парились типа как я буду... ну все ок! Интересно как будет с НЧ очень надеюсь очень что будет также легко) из минусов это: проблемы с речью в начале особенно р з с ч проблемные у меня. Сейчас получше)) вот так:)
Я еще хотела написать о том что если читали то я ставила внешние обычные потому могу сравнить инкогнито с сапфирами например! Так вот я очень рада что я в Инкогнито потому как обычные это просто мрак огромные проблемы по сравнению с инкогнито бандура висит на зубах и все ее видят ну и трет конечно сильно я тогда с воском все время провела помню а сейчас пока еще ни разу не бралась за воск)
Поделиться132012-04-03 14:40:52
Я так поняла, что можно заказать спец. трейнер для установки поверх инкогнито прямо у них же. Или они такое не делают? Я об этом у ортши не спрашивала.Я думала, что это само собой разумеется, что в инкогнито изготовят трейнер с учетом всех деталей для конкретного пациента.
Возможно, Вы правы и за два года что-то изменилось. На тот момент, когда я занялась темой инкогнито два года назад, ничего подобного не было. Но пока что ни одному человеку на форуме, даже недавно заказавшему инкогнито, никаких трейнеров в "Топ-сервисе" не изготавливали. Вы уточните, пожалуйста, у своего ортодонта, мне самой очень интересно... Мы даже с ортшей прикусной шаблон, моделирующий окклюзию после тэнса и каппы, в топ-сервис отправляли в свое время. Ничего. Ноль реакции.
(Хотя, я больше, чем уверена, что и сейчас в философии инкогнито кардинально ничего не поменялось. Цель лечения на брекетах инкогнито - чистая эстетика в пределах зубоальвеолярного отростка, функционирование жевательного органа в этой философии не учитывается).
Я думала это большая фирма - весь мир обслуживают.
Величина - понятие относительное ).
Мне ортша говорила, что мне будут ставить на внутренней стороне зубов аттечменты из полимера для того чтоб можно было натянуть резиночки, с помощь которых будут тянуть центр.Я вот. думаю, почему резинки нельзя крепить на сами брекеты? Зачем дополнительно перегружать зубы аттечемнетами?
Может быть, имелись в виду кнопки? Тогда, действительно, непонятно почему с внутренней стороны. Тем более, у инкогнито крючки для эластиков есть на каждом брекете. Обычно лингвальщикам клеят вестибулярные (наружные) кнопки. Вот такие. Если речь о них, то они нужны для правильного распределения ортодонтических сил. Ну и для удобства ).
Отредактировано Шочикецаль (2012-04-03 17:50:10)
Поделиться142012-04-03 23:31:38
А я жду свои инкогнито из Германии! Пока обживаю сапфиры))) Holly, расскажешь ощущения по НЧ Инкогнито?) когда тебе поставят?
Поделиться152012-04-04 07:20:31
Sv_kk - Ваше сообщение перенесено в тему Все про дуги.
__________________
Rlx, Ортодонт - Ваши сообщения перенесены в тему Все, что Вы хотели знать
Поделиться162012-04-04 07:25:48
Мы даже с ортшей прикусной шаблон, моделирующий окклюзию после тэнса и каппы, в топ-сервис отправляли в свое время. Ничего. Ноль реакции.
Моя мне говорила, что у ингогнито специалная аппарутара для измерения прикуса. Конкретно она не уточняла и сомневаюсь, что ответит, если спросишь.
Вы уточните, пожалуйста, у своего ортодонта, мне самой очень интересно...
Кстати, моя ортша не очень любит отвечать на вопросы, как я поняла. Смотрит так, будто я спрашиваю у нее что-то левое и не по теме. Я еще не заказывала инкогнито (8 тыс евро как никак). Уже как-то неудобно ходить спрашивать. Она приезжает раз в неделю из соседнего города. Знаю точно, что за 3 месяца до снятия оттисков нужно прекратить передвижение зубов, а то инкогнитно "не сядут". Дело в том, что я лечилась ивизилайн до этого и результата нет. Только потраченные время, деньги. Может и проблемы с суставом из-за этого.
Тем более, у инкогнито крючки для эластиков есть на каждом брекете. Обычно лингвальщикам клеят вестибулярные (наружные) кнопки. Вот такие. Если речь о них, то они нужны для правильного распределения ортодонтических сил. Ну и для удобства ).
Может я перепутала и действително они снаружи будут. У меня стояли такие, (только более продолговатые) во время ношения инвизилайнов.
Отредактировано Afina1 (2012-04-04 22:56:19)
Поделиться172012-04-04 09:51:23
Моя мне говорила, что у ингогнито специалная аппарутара для измерения прикуса.
Наверно, она имела в виду артикулятор, потому что все другие аппараты для анализа окклюзии, состояния суставов и мышц предполагают непосредственное присутствие самого пациента. В артикуляторе анализируются модели челюстей (слепки), поэтому его можно использовать дистанционно. Если речь о нем, то он есть в любой мало-мальски приличной клинике. В моей есть ). Одного артикулятора недостаточно для полноценной диагностики.
Дело в том, что я лечилась ивизилайн до этого и результата нет. Только потраченные время, деньги. Может и проблемы с суставом из-за этого.
Сочувствую 
Отредактировано Шочикецаль (2012-04-04 12:32:25)
Поделиться182012-04-04 11:58:04
Наверно, она имела в виду артикулятор, потому что все другие аппараты для анализа окклюзии, состояния суставов и мышц предполагают непосредственное присутствие самого пациента.
я так поняла, что там какие-то чисто инкогнитовские штучки (из нее не вытянешь лишнюю инфу
).
В артикуляторе анализируются модели челюстей (слепки), поэтому его можно использовать дистанционно. Если речь о нем, то он есть в любой мало-мальски приличной клинике.
У нас такая штука в дефиците Я уже хотела ставить сапфиры, пришла на установку, а мне ортша говорит, что не будет ставить, т к она увидела на моих слепках проблемы с прикусом (суперконтакты) и надо делать диагностику на артикуляторе, которого у нее нет. И она меня отправила к своей коллеге в другую клинику (где все по бешеным ценам). Я ждала 2 недели пока в этой клинике раздобудут лицевую дугу. Она была явно не нового образца, такая советская что ли.За всю диагностику с расчетами я оплатила около 200$ (точно не помню). Мне делали диагностику как описано в этой статье. Еще делали анализ ТРГ головы, только листик с результатом не выдали, а попросить я не решилась. А вам делали такой анализ?
Листик с результатом вам выдали?
Сочувствую
спасибо за сочувствие. Надеюсь, что инкогнито нам поможет.
Поделиться192012-04-04 12:24:10
Я ждала 2 недели пока в этой клинике раздобудут лицевую дугу. Она была явно не нового образца, такая советская что ли.За всю диагностику с расчетами я оплатила около 200$ (точно не помню). Мне делали диагностику как описано в этой статье.
Афин, еще раз отсылаю Вас в тему "Проблемы с суставами", я там подробно описывала, как мне делали именно такую диагностику с применением лицевой дуги и артикулятора. Вы просто шагаете по моим стопам практически.
Еще делали анализ ТРГ головы, только листик с результатом не выдали, а попросить я не решилась. А вам делали такой анализ?
Такой анализ обязаны делать вообще каждому ортодонтическому пациенту. Анализ боковой ТРГ входит в обязательную программу диагностики (но даже и его не все ортодонты делают, по факту). Конечно, мне его делали. Листок не выдали ).
я так поняла, что там какие-то чисто инкогнитовские штучки
Если бы в инкогнито были какие-то специфические "штучки", способные лечить сустав, они были бы уже широко известны в узких кругах. Нет там никаких штучек. Вы просто очень-очень хотите инкогнито 
Кстати, Афина, Вы писали где-то, что Вам делали пришлифовку суперконтактов...
Вот мнение некоторых продвинутых врачей насчет этого:
Учитывая это, а также все Ваши высказывания по-поводу своего врача и тактики Вашего будущего лечения, у меня складывается впечатление, что Вам стоит поискать еще других врачей, походить на консультации. Вероятно, придется отказаться от мысли об инкогнито, если Вы действительно озабочены состоянием своего сустава. При выборе врача советую обращать внимание на его сертификаты. Предпочтительнее, если там будут упоминаться такие персоналии, как Рудольф Славичек, R.Roth/R. Williams, Садао Сато. (Впрочем, это просто мое частное непрофессиональное мнение, его можно вообще не принимать во внимание
).
Отредактировано Шочикецаль (2012-04-04 12:46:18)
Поделиться202012-04-04 23:23:29
Афин, еще раз отсылаю Вас в тему "Проблемы с суставами", я там подробно описывала, как мне делали именно такую диагностику с применением лицевой дуги и артикулятора. Вы просто шагаете по моим стопам практически.
читала.Буду еще раз смотреть, спс.
Такой анализ обязаны делать вообще каждому ортодонтическому пациенту. Анализ боковой ТРГ входит в обязательную программу диагностики (но даже и его не все ортодонты делают, по факту). Конечно, мне его делали. Листок не выдали )
Да, должны, но у нас это экзотика. А если, попросите, то выдаст или откажет? Мне так хочется получить этот листик, я просила выдать мне его, даже звонила на рецепшен, чтоб отдали. А мне по факту, только слепки дали. А про лист я не решилась спросить.
Вот мнение некоторых продвинутых врачей насчет этого
Я в шоке. Но я смотрела статьи в инете, и такого не встречала. Понижение прикуса, это значит задвигание челюсти назад?
Учитывая это, а также все Ваши высказывания по-поводу своего врача и тактики Вашего будущего лечения, у меня складывается впечатление, что Вам стоит поискать еще других врачей, походить на консультации. Вероятно, придется отказаться от мысли об инкогнито, если Вы действительно озабочены состоянием своего сустава. При выборе врача советую обращать внимание на его сертификаты. Предпочтительнее, если там будут упоминаться такие персоналии, как Рудольф Славичек, R.Roth/R. Williams, Садао Сато. (Впрочем, это просто мое частное непрофессиональное мнение, его можно вообще не принимать во внимание ).
Ваше мнение для меня важно. В местной клинике дипломов ортши нет, т к она приезжая. А вот на сайте ее личной клиники был раньше диплом инкогнито, сейчас почему-то нет. Он вроде за 2006 год был. И на сайте инкогнито указаны ее фамилия и адрес ее клиники. Хорошо, что инкогнито это предусмотрели и самозванцы не смогут обманывать.
А кого еще искать не знаю... Сама уже все передумала. предыдущая ортша (самая известная ортша в городе) меня отправила к своей коллеге. Я как альтернативу рассматриваю самолигирующиеся, но у нас их в городе ставит только одна ортша, но о ней был плохой отзыв, что проблемы с суставом у девочки возникли и она перелечивается теперь у той, которая от меня отказалась. Еще самолигирующие ставит моя приезжая ортша, но у нее цены конечно - 4 тыс евро за кларити) и она не обещает идеального центра на самолигирующих, вам не кажется это странным? Говорит, что инкогнито центр выровняет, а кларити - не факт. Разве такое может быть?
Поделиться212012-04-05 02:08:55
А я жду свои инкогнито из Германии! Пока обживаю сапфиры))) Holly, расскажешь ощущения по НЧ Инкогнито?) когда тебе поставят?
Ага расскажу самой интересно) оч надеюсь на такое же легкое ношение
Holly, Вы в третий раз игнорируете ПРЕДУПРЕЖДЕНИЕ - НАРУШЕНИЕ ПРАВИЛА 2.12 - ЗАПРЕЩЕНО писать несколько сообщений подряд, если хотите дополнить написанное сообщение - отредактируйте его. Для этого есть кнопка РЕДАКТИРОВАТЬ внизу справа в сообщении.
Начала уже лучше разговаривать хотя по телефону еще переспрашивают иногда особо сложные слова не понимают с первого раза 
Хорошо уважаемый администратор, вот так?)
Отредактировано Holly (2012-04-05 15:13:48)
Поделиться222012-04-05 23:27:19
А если, попросите, то выдаст или откажет? Мне так хочется получить этот листик
А смысл? Самостоятельно в этом анализе все равно не разобраться, нужно быть ортодонтом, чтобы понимать, что означают все эти углы и т.п. А если идти с ним к другому врачу, то тоже смысла нет, т.к. каждый врач считает ТРГ по-своему, методов расчета - несколько десятков, да еще многие врачи их в своей практике комбинируют, при этом выводы у всех разные и планы лечения тоже ).
Понижение прикуса, это значит задвигание челюсти назад?
Нет, это снижение прикуса по вертикали.
Я в шоке. Но я смотрела статьи в инете, и такого не встречала.
Но ведь это логично. Это же не простая школьная физика, а биомеханика. Тут принципы несколько другие. Попробую объяснить корявыми рисунками )
Рис.1
Любители пришлифовки суперконтактов, видимо, предполагают, что суперконтакт возник из-за непонятно почему вдруг ставших слишком высокими бугров на отдельных зубах. Мол, спилить высоту бугров и все будет ровно. Это простая физика. Здесь зубы приравниваются к чему-то простому, как деревянный забор, например ).
Рис.2
На самом деле, зубочелюстная система посложнее, чем забор ). Суперконтакт возникает не из-за высоких бугров, а из-за функциональной перегрузки в отдельных местах. А перегрузка возникает из-за неравномерного распределения нагрузки. Если тупо спилить бугры, функциональная перегрузка в этом месте станет еще сильнее, прикус еще ниже, а проблем с суставами еще больше. Решение только одно, грамотно перераспределить нагрузку так, чтобы она была равномерной на всех участках. Для этого нужно работать со всеми зубами на обеих челюстях. Кагбэ, для того и ортодонтия... В общем, примерно так
моя приезжая ортша,
Ваша ортша мне напоминает мою как сестра-близнец ). Моя тоже очень хороша в границах своих знаний, она именита, востребованна и очень дорого берет за лечение. Она тоже понимает, что ортодонтия нужна не только для того, чтобы зубы выровнять, но еще и решить проблемы с суставом. Но что именно нужно для этого сделать, она не вполне понимает. Вроде что-то, где-то... каппы/шины/артикулятор... но фактически через два года в общей сложности мы пришли к банальному выравниванию зубов, а с суставом по-прежнему неизвестно, что делать. Кстати, моя тоже очень надеялась на инкогнито. Мало того, она даже прямо заявила в ответ на мое желание поставить STb, что " в моем сложном случае помогут только инкогнито".
Говорит, что инкогнито центр выровняет, а кларити - не факт.
Вам это знакомо, правда?
В общем, судя по всему, выбора у Вас особо и нет, как и у меня. Тут нужно либо возвести проблему с суставом в ранг идеи-фикс и ехать лечиться в другой город и даже страну, либо забить на суставы, ставить инкогнито или любые другие брекеты и думать только об эстетическом выравнивании зубов.
Отредактировано Шочикецаль (2012-04-13 23:35:02)
Поделиться232012-04-06 00:42:37
Да мы ортодонты очень часто вредим суставу.
Вот простой пример.
Обращается за ортодонтическим лечением взрослая девушка, у которой одновременно формировались высокий суставной бугор и глубокий прикус.
У этой девушки, не смотря на патологию прикуса, сустав и зубы работают синхронно.
То есть - при движении челюсти вперед и суставной отросток и резцы движутся сначала вниз на величину глубокого перекрытия (например 8мм), а затем вперед..
В ходе лечения мы (Ортодонты) желаем у всех пациентов получить перекрытие в переднем отделе зубного ряда 2-3 мм.
Но сустав останется тот же.
Поэтому при движении челюсти вперед зубы движутся вниз лишь на 2-3 мм, а потом уже вперед.
Вот к такому движению, сустав не приспособлен. И он находится в состоянии постоянной перегрузки.
Поделиться242012-04-06 08:16:33
уважаемые форумчане, просьба придерживаться в своих постах темы, в которой пишете. Шочикецаль уже предлагала интересующимся ознакомиться с ЧЛХ, Проблемы с суставами, Прикус. в данной теме просьба ограничиться постами, имеющими непосредственное отношение к лингвальным брекетам.
Поделиться252012-04-06 13:40:04
У меня уже видны некоторые изменения по зубам, 2 первых зуба почти приняли правильное положение, язык не болит, могу жевать! Жизнь налаживается!
Поделиться262012-04-06 17:44:54
Sv_kk
Поздравляю тебя с первыми достижениями!))
Отредактировано Викуська (2012-04-06 17:50:17)
Поделиться272012-04-07 03:23:04
она даже прямо заявила в ответ на мое желание поставить STb, что " в моем сложном случае помогут только инкогнито"
и моя так сказала. Она сказала, что может с любой системой работать, но STb будет не эффективна.
Поделиться282012-04-10 16:46:40
А у меня отклеился еще один брекет. Моя статистика за 3 с небольшим недели ношения Инкогнито: сломанная дуга и и минус 2 брека. Ничего твердого не ем, зубы чищу аккуратно 
Поделиться292012-04-10 22:53:55
Avis, а где отклеился: вверху, внизу?
Поделиться302012-04-11 12:24:44
А у меня отклеился еще один брекет. Моя статистика за 3 с небольшим недели ношения Инкогнито: сломанная дуга и и минус 2 брека. Ничего твердого не ем, зубы чищу аккуратно
Подпись автора
ну значит ошибка орта-приклеели плохо. 